Curated
Treatments
Comprehensive dental solutions delivered with precision, technology, and care under one roof.
Essential Care
The foundation of a healthy smile starts with preventive and restorative measures.

Preventive & General
Maintain optimal oral health with regular check-ups and preventive care. Early detection is key.
- Scaling & Cleaning
- Fillings & Restorations
- Gum Care

Endodontics
Advanced root canal treatments using microscopes and lasers to save your natural teeth.
- Root Canal Treatment
- Re-treatment
- Microsurgery

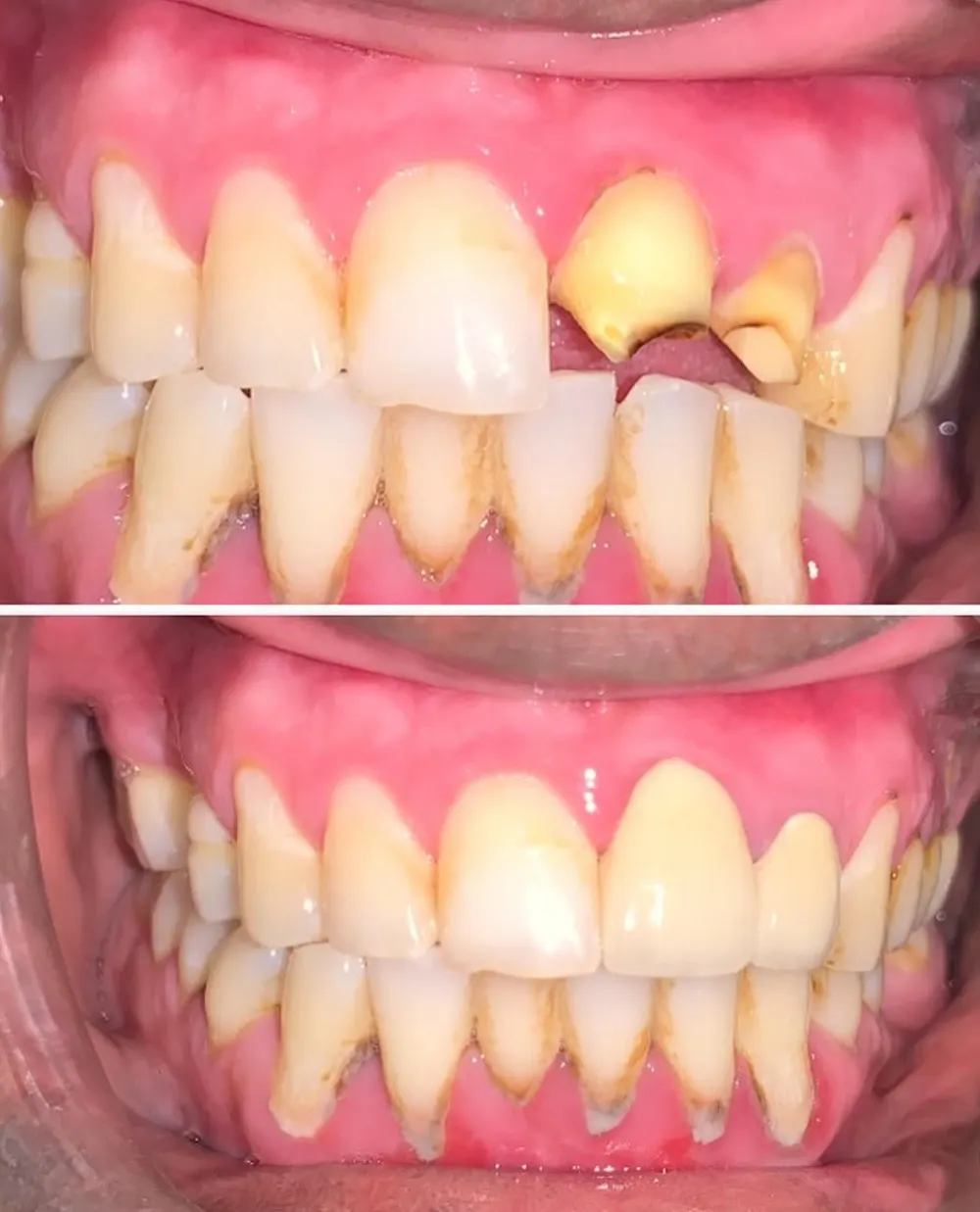
Restorative
Restore function and appearance with crowns, bridges, and dentures for a complete smile.
- Crowns & Bridges
- Dentures
- Implant-Retained Dentures
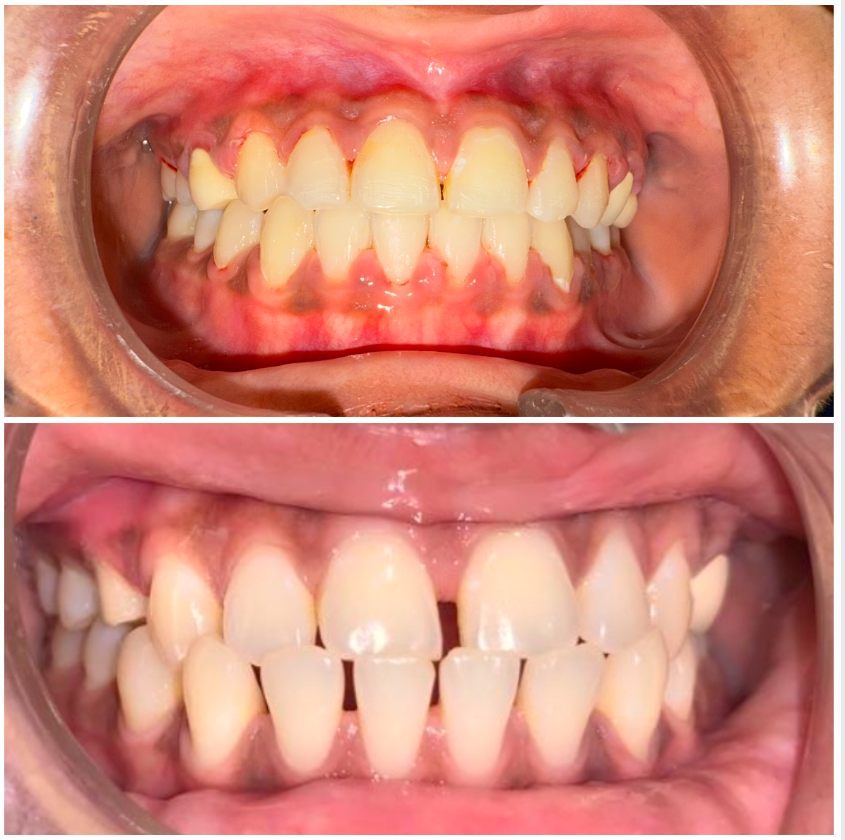
Transformations



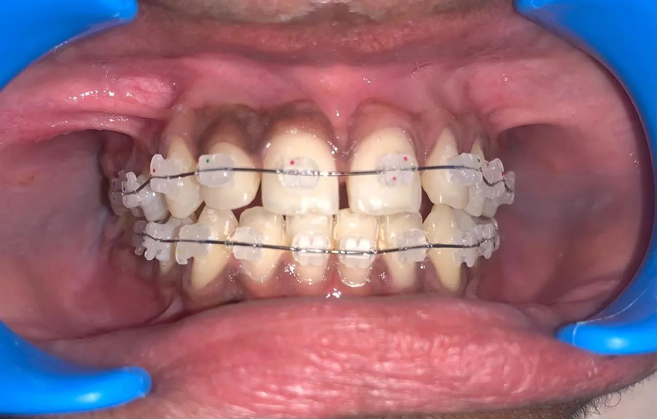
Orthodontics
Straighten your teeth with modern braces or clear aligners. We offer orthodontic solutions for all ages to improve function and aesthetics, giving you the confidence to smile freely.
- Invisalign & Clear Aligners
- Metal & Ceramic Braces
- Early Intervention
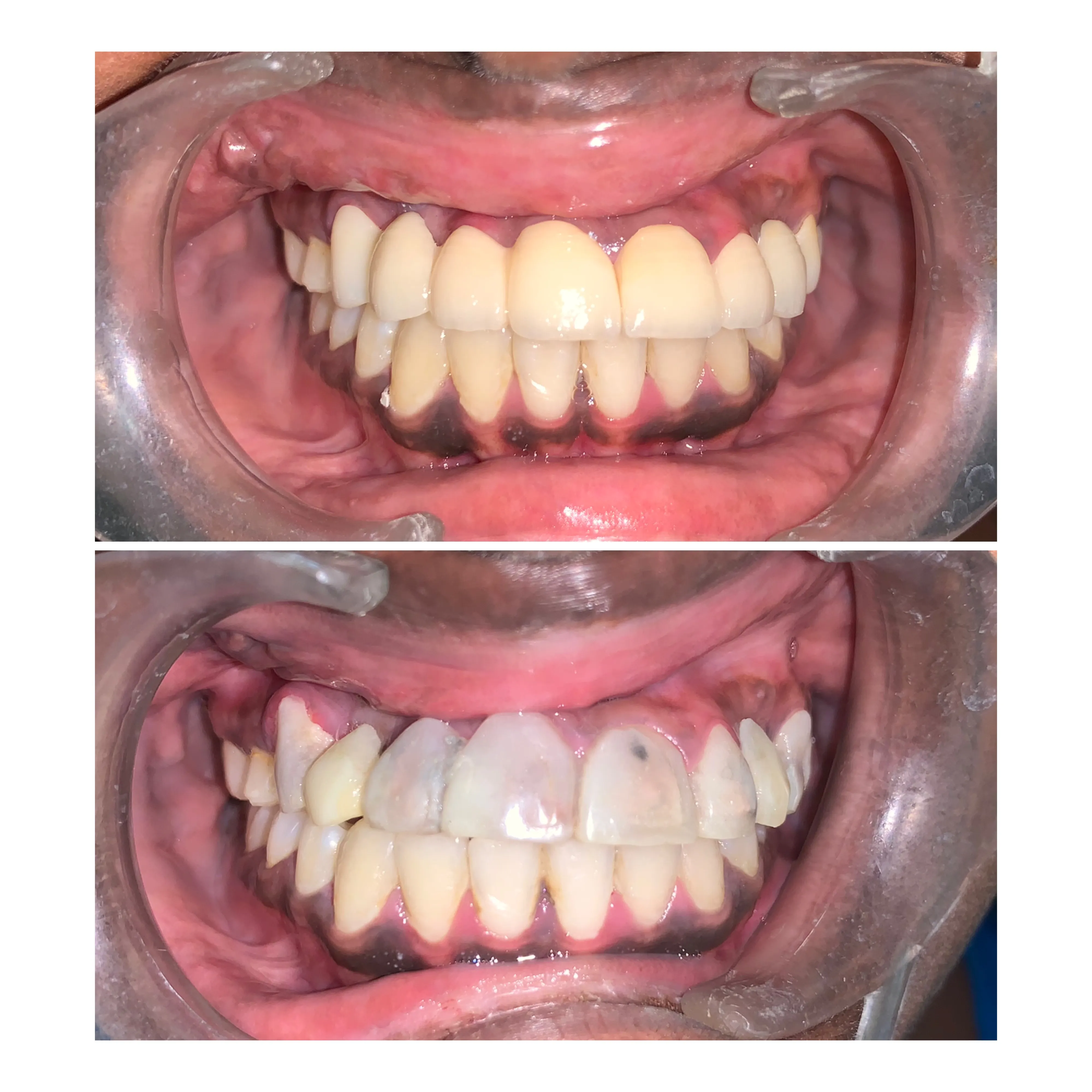
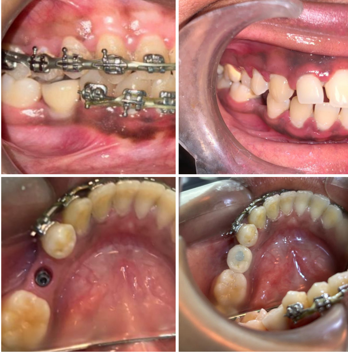
Implant Dentistry
Permanent solutions for missing teeth. We provide comprehensive implant services including full mouth rehabilitation, restoring not just your smile, but your quality of life.
- Single Tooth Implants
- Full Mouth Rehabilitation
- All-on-4 / All-on-6


Cosmetic Dentistry
Enhance your smile with veneers, teeth whitening, and complete smile makeovers. We use minimally invasive techniques to create natural-looking, stunning results.
- Porcelain Veneers
- Teeth Whitening
- Smile Design
Advanced Procedures

Oral & Maxillofacial Surgery
Expert surgical care for complex dental issues. From wisdom tooth removal to fracture management.
- Impacted Tooth Extraction
- Wisdom Tooth Surgery
- Trauma Management

Laser Dentistry
Advanced laser treatments for precise and comfortable care. Faster healing and less discomfort.
- Laser Gum Treatment
- Depigmentation
- Minimally Invasive Procedures
The Wings Difference
We combine expertise, technology, and compassion to deliver an exceptional dental experience.
Integrated Specialist Team
Multi-disciplinary approach ensuring every aspect of your care is handled by an expert.
Modern Technology
State-of-the-art equipment including lasers and digital scanners for precise treatments.
Personalized Care
Tailored treatment plans that respect your goals, budget, and comfort.
Transparent Pricing
Clear, upfront cost discussions with no hidden charges or surprises.
Trusted Reputation
A legacy of excellence and trust in the Vadapalani community.
Prime Location
Easily accessible clinic with a comfortable, welcoming environment.
Get the highlights.
explore services⊕Ready to take the next step?
Speak with our team and get a clear treatment plan with transparent pricing—focused on comfort, precision, and long‑term oral health.